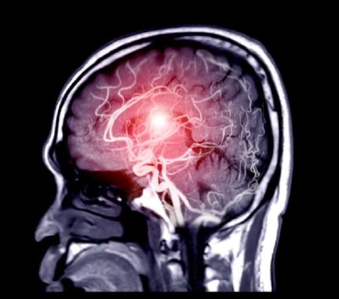
È stato il tempo, in tutti i sensi, a salvare la vita di un crocerista giunto nei giorni scorsi presso l’azienda ospedaliera universitaria di Messina a seguito di un malore. La nave su cui stava trascorrendo una vacanza doveva ripartire dal porto di Messina, ma le avverse condizioni meteo hanno determinato uno stop non programmato. Un imprevisto che, in tale circostanza, si è rivelato una salvezza. Appena giunto in pronto soccorso il paziente presentava un’emiparesi sinistra con impossibilità a camminare ed è stato subito accolto dalla stroke unit, guidata dal Prof. Antonio Toscano.
Qui è stato sottoposto a tutti gli accertamenti necessari per conoscere le origini dell’evento ischemico e dare indicazione all’intervento di trombectomia meccanica, eseguito dall’équipe della UOC di Neuroradiologia Interventistica, diretta dal prof. Sergio Vinci. Si tratta della procedura endovascolare che consente di liberare i vasi ostruiti e per la quale l’AOU è centro di riferimento nella rete provinciale dello stroke. Infatti, nelle ore successive alla trombectomia, il paziente ha recuperato perfettamente e ha ripreso a camminare regolarmente.
“Per fortuna – afferma il Prof. Sergio Vinci – ogni giorno capita di affrontare casi in cui riusciamo ad intervenire prima che sia troppo tardi e che ci possano essere danni permanenti. Un fattore, quello temporale, che incide in modo significativo sulla prognosi e che, come in questo caso, grazie all’esecuzione della procedura meccanica, ci permette di liberare i grossi vasi ostruiti e ripristinare la circolazione”.
“Presso la stroke unit – sottolinea il prof. Antonio Toscano – i pazienti vengono monitorati h 24 per osservare tutte le possibili evoluzioni. Un caso, quello trattato, potenzialmente grave, ma emblematico e significativo, nella sua dinamica, per richiamare l’attenzione sull’importanza di poter contare su una struttura di riferimento nel trattamento di patologie tempo dipendenti. In alcuni casi, laddove il paziente giunga alla nostra osservazione nell’arco di quattro ore e mezza, si può agire anche solo con il trattamento farmacologico (trombolisi)”.
L’équipe medica della Stroke Unit, diretta dal Prof. Toscano, è composta dai Dott. Paolo La Spina, Carolina Fazio, Melina Carella, Marina Cotroneo, Cristina Dell’Aera, Francesco Grillo, Ludovica Ferraù, Teresa Brizzi, Rita Colella, Antonio Naro. In sala ad eseguire l’intervento di Neuroradiologia Interventistica c’erano i dottori Antonio Pitrone, Antonio Caragliano, Mariano Velo, Agostino Tessitore, Orazio Buonomo.



